Vo štvrtok 19. 6. 2025 sme z technických príčin zatvorení. Ďakujeme za pochopenie.

Vo štvrtok sme zatvorení

Vo štvrtok 19. 6. 2025 sme z technických príčin zatvorení. Ďakujeme za pochopenie.

Beriem na vedomie

Agne

Composites with Agne in Prague: the theory + 2 hands-on days

Advanced Clinical Strategies and Techniques for Direct Anteriors

Termíny
Dates
prijímame prihlášky
Applications open
Waiting list
Registration opening soon
Registration closed

3. - 5. december 2026

Prague
|
1819
€/osoba bez DPH
€/person excluding VAT
Dr. Agne Malisauskienee
O kurze
About the course
O konferencii

The course consists of one day of theory and two days of hands-on lectures:

The THEORY - Effortless Esthetics: The Modern Anterior Composite Playbook (full day lecture). A full day dedicated to making anterior composites feel truly effortless. Learn Dr. Agne's modern workflow for natural morphology, invisible margins, seamless diastema closures, and subtle alignment corrections using composite. Walk away with a predictable, ready-to-use system for beautiful anterior restorations.

The ONE Composite Course is designed for any dentist who performs direct anteriorcomposite restorations.

The lecture covers essentialdental anatomical landmarks for composite restorations, the properties ofcomposite resin, effective use of rubber dam systems, principles of free-hand direct anterior restorations, and simplified protocols for preparation,layering, finishing, and polishing to achieve seamless margins.

The TWO Composite Course: Anteriors is all about control. Participants will master controlling volume, layers, natural shape, andtexture. The goal is to equip dentists with the tools to restore missing tooth tissues seamlessly into the smile.

Pre koho je kurz určený
Who is the course intended for?
Pre koho je kongres určený
  • Dentists
Podmienky
Prerequisites
  • The course can be purchased as a full package (theory + 2 days of hands on).
  • The course is taught in English.
Obsah kurzu
Course content
Program kongresu

The THEORY (3. december 2026):

Attendees will leave with:

  • A refined understanding of natural anterior morphology
  • A step-by-step blueprint for achieving invisible composite restorations
  • Strategies for avoiding common mistakes
  • Workflows that save time while enhancing esthetic outcomes

By the end of the day, clinicians will be equipped with a modern, repeatable playbook they can apply immediately — transforming anterior composite dentistry into a process that feels effortless.

THE ONE (4. december 2026):

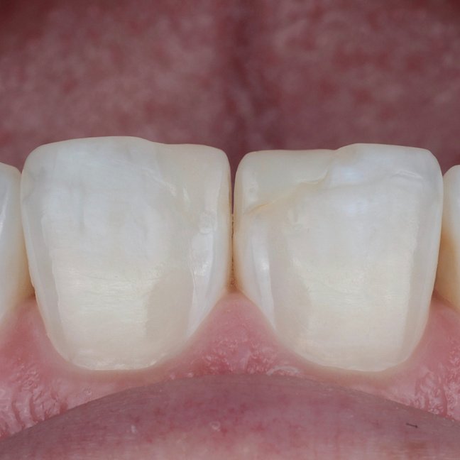
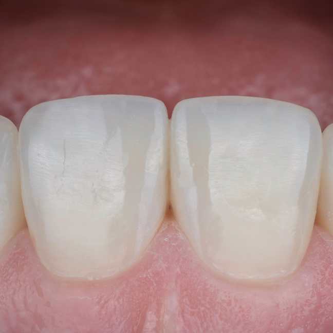
  • Lateral incisor - Class III restorations - small and large -layering, mylar pull, polishing. Learning objectives: creatingpalatal marginal ridges, tight interproximal contacts, layering,creating invisible margins.
  • Central incisor - Class IV restoration - layering, finishing,polishing. Learning objectives: seamless tooth - compositemargin, mimicking contralateral anatomical and optical width.
  • Diastema closure - matrixing, layering, finishing andpolishing. Learning objectives: creating midline, working onproportions

The TWO (5. december 2026):

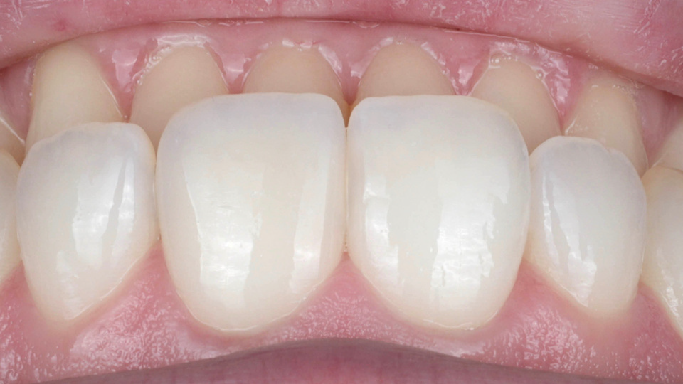
  • Direct mockup central incisor.
  • Creating silicone stent
  • Central incisor - Composite veneer - multi - layering technique
  • Central incisor - Class IV - multi - layering technique
  • Finishing, polishing, creating texture
  • Incisal first technique - layering lateral incisor
  • Finishing, polishing, creating texture
Fotografie z kurzu
Fotografie z kongresu
No items found.