Vo štvrtok 19. 6. 2025 sme z technických príčin zatvorení. Ďakujeme za pochopenie.

Vo štvrtok sme zatvorení

Vo štvrtok 19. 6. 2025 sme z technických príčin zatvorení. Ďakujeme za pochopenie.

Beriem na vedomie

Mária

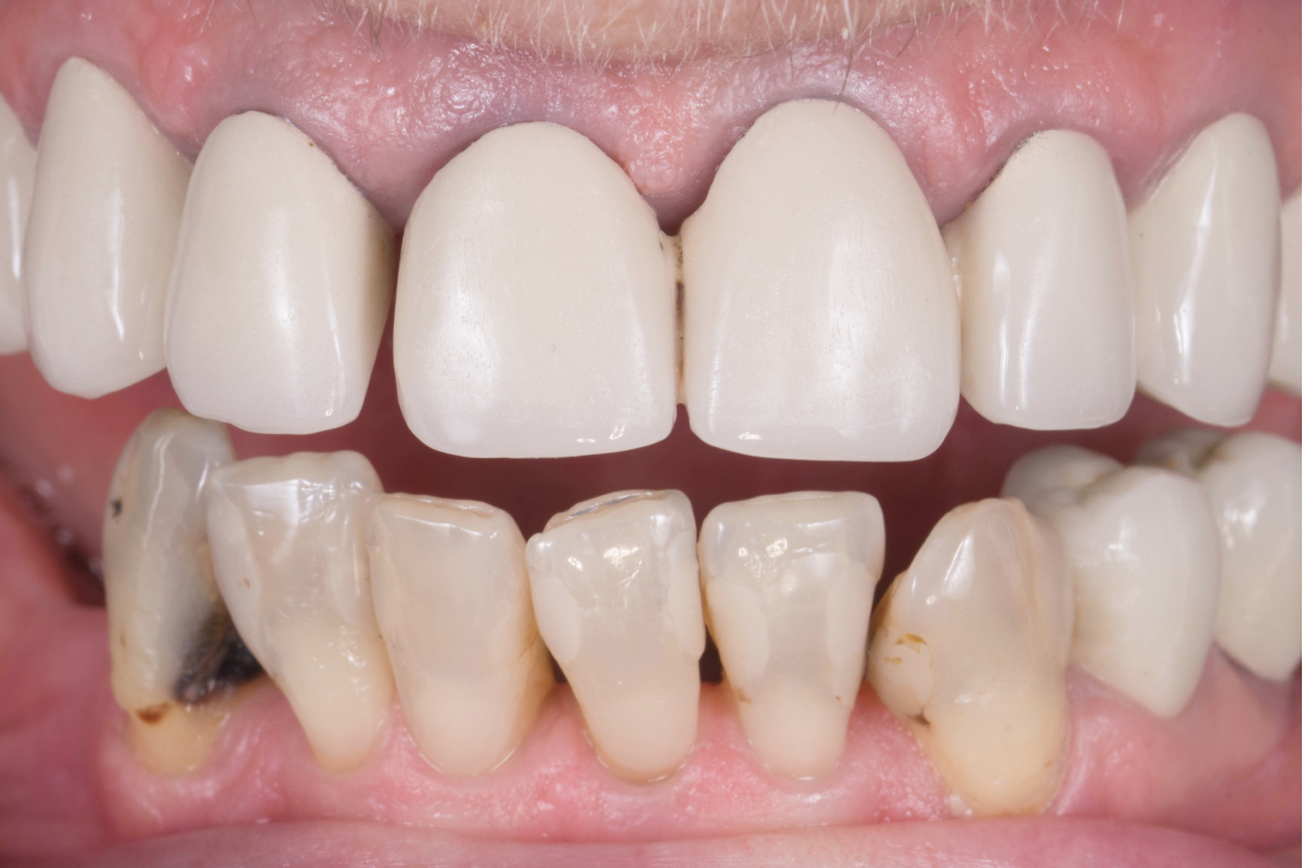
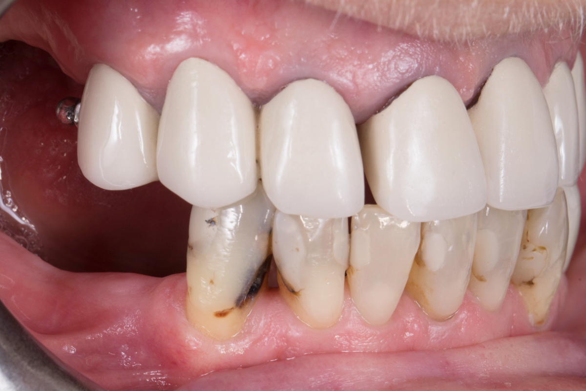
Mária ku nám merala cestu až z ďalekých Žemberoviec, aby si splnila sen o nových zuboch. Vďaka doplnenej kosti a dvom dentálnym implantátom vpravo dole sme jej dokázali zlepšiť nielen estetiku úsmevu, ale aj funkciu celého chrupu. 

+421 41 87 750 61
Tím
MDDr. Michal Štefanatný, Ph.D.
Bc. Ing. Marek Molnár
Peter Kriška
Viac o tíme
Výkony
Dĺžka terapie
31 mesiacov