Vo štvrtok 19. 6. 2025 sme z technických príčin zatvorení. Ďakujeme za pochopenie.

Vo štvrtok sme zatvorení

Vo štvrtok 19. 6. 2025 sme z technických príčin zatvorení. Ďakujeme za pochopenie.

Beriem na vedomie

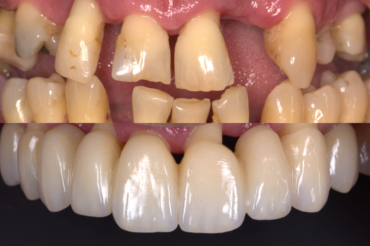
Marek

Marek ku nám prišiel vo veku necelých 30 rokov. Jeho požiadavka bola, aby sa mohol schuti najesť a aby jeho úsmev vyzeral krajšie. Po náročnej parodontoligickej a čeľustno-ortopedickej terapii sa nám podarilo zachrániť takmer všetky jeho zuby a vytvoriť mu nový a funkčný úsmev.

+421 41 87 750 61
Tím
MDDr. Michal Štefanatný, Ph.D.
MDDr. Peter Dírer
Bc. Monika Miškanin
Bc. Ing. Marek Molnár
Viac o tíme
Výkony
Dĺžka terapie
45 mesiacov