Vo štvrtok 19. 6. 2025 sme z technických príčin zatvorení. Ďakujeme za pochopenie.

Vo štvrtok sme zatvorení

Vo štvrtok 19. 6. 2025 sme z technických príčin zatvorení. Ďakujeme za pochopenie.

Beriem na vedomie

Petr

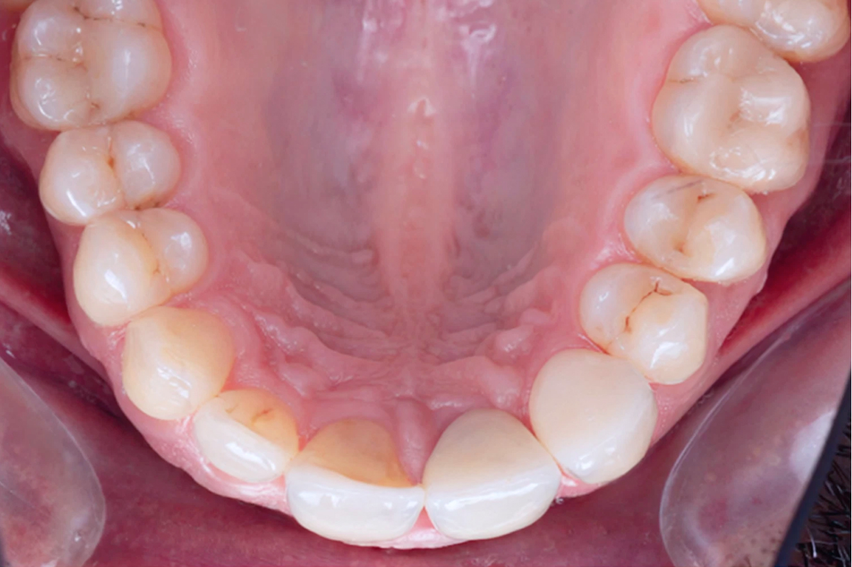
Petr mal smolu. Spadol na elektrickej kolobežke a okrem iného si zlomil alebo vyrazil aj zopár zubov. Mal však aj šťastie. Za 3 roky sme mu dali zuby opäť dokopy. Ešte dať dokopy tú kolobežku a môže znova vyraziť.

+421 41 87 750 61
Tím
MDDr. Michal Štefanatný, Ph.D.
MDDr. Peter Dírer
Bc. Miroslava Bajerová
Peter Kriška
Viac o tíme
Výkony
Dĺžka terapie
3 roky